Generell tannbehandling
Tannrens
Tannrens. Hvorfor er det så viktig? Alt du trenger å vite
Rengjøring, eller scaling, av tennene er prosedyren der tannstein (kalkulus) og de myke avleiringene av bakterieplakk som samler seg på tennene, fjernes.
Tannstein og bakterieplakk er hovedårsakene til betennelser i munnen, som i starten viser seg som gingivitt. På dette stadiet kan pasienten merke blødning under tannpuss. Hvis det ikke behandles, utvikler gingivitten seg til periodontitt, der ikke bare tannkjøttet, men også de støttende vevene rundt tannen (bindevev og kjeveben) blir påvirket. I slike tilfeller mister tannen gradvis sin støtte, noe som fører til resorpsjon av kjevekammen rundt den, og til slutt, i avanserte stadier, blir tannen mobil.
Hvis disse tilstandene ikke behandles, kan de føre til tanntap og dermed problemer med tyggeevne, ernæring og estetikk i munnen — og til slutt også i ansiktets estetikk.
Utover disse konsekvensene er det viktig å fremheve den negative påvirkningen på pasientens generelle helse, da nyere studier har vist en sterk sammenheng mellom tannkjøttsykdommer og andre medisinske tilstander, som diabetes og hjerte- og karsykdommer.
Heldigvis har vi et kraftfullt og svært effektivt verktøy i kampen mot tannkjøttsykdom og for å ivareta helsen vår: forebygging. Forebygging i tannbehandling oppnås gjennom daglig egenomsorg av pasienten, kombinert med støtte fra tannlegen gjennom prosessen med scaling — altså profesjonell tannrens.
Under rengjøringen fjerner tannlegen alle harde avleiringer på tannoverflatene, vanligvis kalt tannstein. Tannstein kan ikke fjernes av pasienten ved vanlig pussing, da spesialutstyr kreves for å fjerne den.

Hvordan utføres tannrens? Gjør prosedyren vondt?
Som nevnt tidligere krever tannrens spesialutstyr som kun er tilgjengelig på en tannklinikk.
Dette utstyret er den ultrasoniske enheten. Den fungerer gjennom vibrasjon kombinert med en fin vanndusj. På spissen av enheten festes en sterilisert metallskaler (sterilisert etter hver pasient), som tannlegen bruker med myke, kontrollerte bevegelser for å fjerne tannstein ved å “skrape” tannoverflaten. Denne prosedyren kalles tannskaling.
Målet med denne prosessen er å fjerne tannstein skånsomt, slik at eventuell traume på tannkjøttet minimeres.
Etter skaling fullføres rensen med polering. Ved hjelp av en spesiell slipende pasta og en liten koppformet børste fjerner tannlegen myk plakk, matrester og flekker forårsaket av røyking, kaffe, rødvin eller andre mat- og drikkevarer som misfarger tennene.
Renseprosessen er generelt smertefri, og det tas hensyn til å bruke kun nødvendig trykk slik at pasienten forblir komfortabel. For pasienter med spesielle forhold, som økt følsomhet i tenner eller tannkjøtt, finnes det metoder for å gjøre prosedyren helt smertefri og behagelig.
Hvor ofte bør det utføres?
Tannrens utføres vanligvis hver sjette måned eller en gang i året, avhengig av pasientens individuelle behov, hastigheten på tannsteindannelse, og eventuelle spesifikke medisinske tilstander eller medisiner som krever hyppigere kontroll og rensing.
Oppsummering
Tannrens (skaling og polering) er en av de minst invasive prosedyrene innen tannbehandling, kan utføres smertefritt, og er viktig både for forebygging og behandling av tannkjøttsykdommer.
Årlige undersøkelser og tannrengjøringer er avgjørende for å opprettholde god munnhelse — og generell helse — og bør ideelt sett bli en rutinemessig del av alles liv.
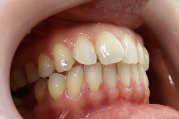
SAK 1: Ung pasient før og etter tannrens og fornyelse av hennes tannkrystaller.


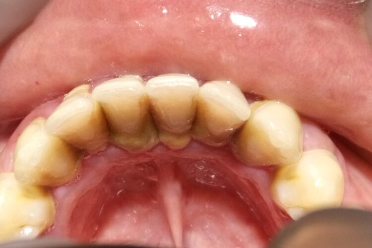
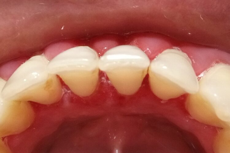
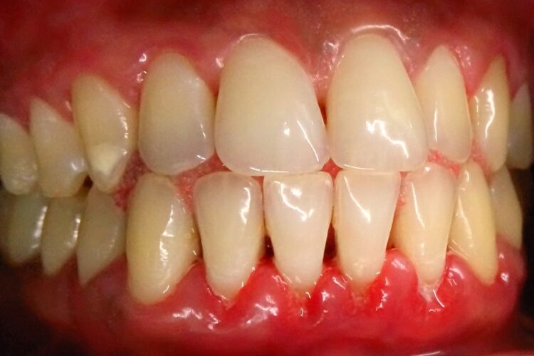
SAK 2: En ung pasient med forsømt munn, kraftig tannstein- og plakkoppbygging, og gingivitt. Legg merke til forskjellen på tenner og tannkjøtt før og umiddelbart etter tannrensen.


Bilde av samme pasient, spesifikt tennene i underkjeven, før tannrens.

Bilde av pasientens munn etter fullført tannrens.

Skrevet av Ηara Kouloumpri, tannlege, Rhodos.
Kontakt oss for å avtale time
RHODES SMILE TANNKLINIKK
Ηara Kouloumpri
1 Sofias Street, Rodini
85100 Rhodos, Hellas
Tel: 22410 72723
Mobil 698 078 6526
E-post: c.kouloumpri@gmail.com
Nettside: www.rhodes-smile.com
Denne artikkelen er også tilgjengelig på: Gresk