Teeth Cleaning – Before & After Cases
With a thorough professional cleaning, we removed tartar, plaque, and surface stains, restoring the natural shine of the teeth. The gums are healthier, and the smile looks clean, bright, and refreshed.
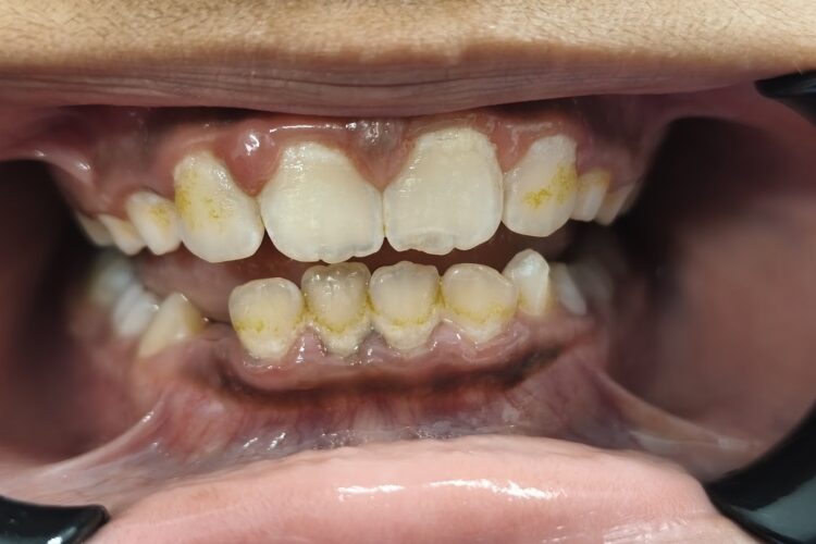
Case: Professional Cleaning & Gum Healing in a Young Patient
Before
The young patient presented with noticeable plaque and tartar buildup, particularly along the gum line. The gums were irritated, showing redness and early signs of inflammation, which caused sensitivity and unpleasant breath.
Right after the cleaning
With a careful professional cleaning, all tartar and stains were completely removed. The teeth regained a clean, natural appearance, and the gums began to “calm” from the irritation. The difference was immediately noticeable in both the smile and the color of the gums.
Two weeks later
At the follow-up examination, the gums had healed remarkably. The inflammation had subsided, the color had returned to a healthy pink, and the tissue was now firm and painless. With the daily oral hygiene maintained by the patient, the results remained stable, leaving the smile healthy and refreshed.



Written by Hara Kouloumpri, Dental Surgeon, Rhodes.
Contact us to schedule an appointment
RHODES SMILE DENTAL CLINIC
Hara Kouloumpri
1 Sofias Street, Rodini
85100 Rhodes, Greece
Tel: 22410 72723
Mobile 698 078 6526
Email: c.kouloumpri@gmail.com
Website: www.rhodes-smile.com
This post is also available in: Greek
