
Composite Veneers – Bonding Technique
Cosmetic Dentistry
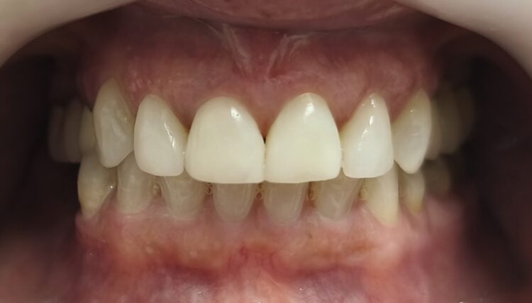
Composite Veneers – Bonding Technique
Dental Bonding
A safe and painless technique for dramatic results in your smile.
What is dental bonding (also called tooth lifting)?
Dental bonding is a procedure in which the dentist applies a special resin to the outer surface of the teeth to:
Change their shape
Correct their color
Repair minor chips or fractures
Adjust the alignment of slightly crooked teeth
It is a highly versatile procedure for patients seeking specialized aesthetic dental treatments.
What is the resin used, and is it safe?
The resin is the same material used for dental fillings. It is completely safe, adheres strongly to the tooth surface, and integrates seamlessly with your natural teeth.
We use high-quality resins available in a wide range of shades, allowing the final result to be bright, shiny, and perfectly natural-looking.
Does it hurt, and is it time-consuming?
In most cases, no local anesthesia is required, making bonding a comfortable and pleasant procedure for the patient.
It typically requires just one session lasting 2–3 hours, after which the patient leaves the clinic with a completely renewed and aesthetically enhanced smile.
Cost, advantages, and disadvantages
Bonding is more affordable and convenient compared to ceramic veneers. The main drawback is that the results require periodic maintenance: small chips or wear on the resin surface may occur over time and can be easily repaired or polished during routine dental visits.
With proper care, professional polishing, and good oral hygiene, the results of dental bonding can last many years, maintaining a beautiful and natural-looking smile over time.
Cases from Our Clinic


































Written by Hara Kouloumpri, Dental Surgeon, Rhodes.
Contact us to schedule an appointment
RHODES SMILE DENTAL CLINIC
Hara Kouloumpri
1 Sofias Street, Rodini
85100 Rhodes, Greece
Tel: 22410 72723
Mobile 698 078 6526
Email: c.kouloumpri@gmail.com
Website: www.rhodes-smile.com
This post is also available in: Greek